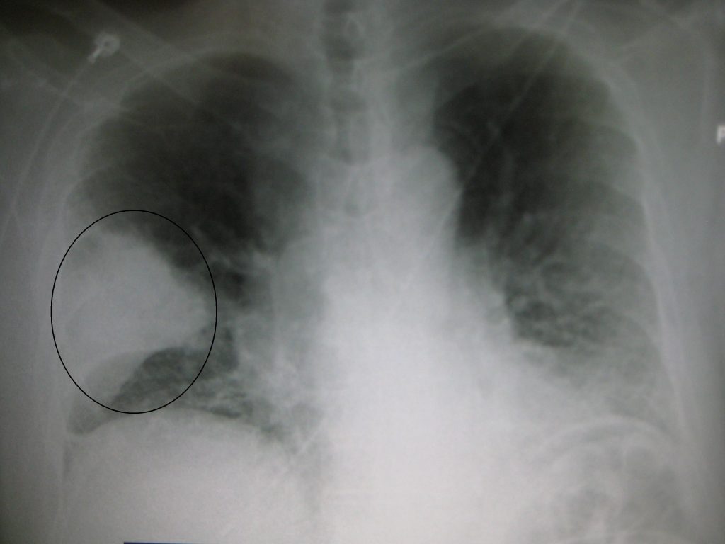
Ciudad de México.- La bacteria de la neumonía es letal en adultos mexicanos de más de 65 años, afirmó el infectólogo mexicano, Marte Hernández Porras.
En vísperas del Día Mundial contra la Neumonía, que se conmemora cada 12 de noviembre, el especialista dijo a periodistas que esta infección pulmonar bacteriana se puede contraer en cualquier lugar y etapa de la vida, pero resulta más letal en adultos mayores, niños menores de cinco años y personas con factores de riesgo.
En 2017, la neumonía se posicionó dentro de las primeras 20 causas de enfermedad a nivel nacional y afectó a unos 130.000 mexicanos, según cifras de la Secretaría de Salud.
«Los adultos mayores son más vulnerables debido a una condición llamada ‘inmunosenescencia’ que es el efecto del envejecimiento sobre el sistema inmunológico», explicó.
Asimismo, señaló que esta situación provoca que la defensa natural del cuerpo se debilite y haga que el individuo sea más propenso a contraer enfermedades neumocócicas.
Además, Hernández Porras señaló que entre algunos otros factores que podrían incrementar el riesgo de contraer neumonía están el estilo de vida; padecer ciertas afecciones de salud, entre ellas asma, diabetes y enfermedades cardiovasculares.
Detalló que los ancianos pueden padecer consecuencias importantes como la insuficiencia respiratoria y la septicemia, es decir, una inflamación incontrolada en el cuerpo que puede causar una falla general de los órganos.
Por lo anterior, recomendó seguir un esquema de inmunización completo para estar realmente protegidos ante esta enfermedad.
De acuerdo con la Organización Mundial de la Salud (OMS), la neumonía puede estar causada por virus, bacterias u hongos.
Puede prevenirse mediante inmunización, una alimentación adecuada y mediante el control de factores ambientales.
La neumonía causada por bacterias puede tratarse con antibióticos, pero solo un tercio de las personas que padecen neumonía reciben los antibióticos que necesitan.






Los comentarios están cerrados.